|
01.13.01:51 [PR] |
|
11.19.17:26 腫瘍ドック |
PET-CT検査と呼ばれているものです。
陽電子放射断層撮影装置のことで、ポジトロン・エミッション・トモグラフィー[PositronEmissionTomography]の略語です。X線CTのような形をした「カメラ」を用いて全身や心臓、脳などにおいて、病気の原因や病巣、病状を的確に診断する新しい検査法です。
がん細胞を見つけるものなのですが、発想がおもしろい。
細胞は、ブドウ糖を必要としているので、検査前にブドウ糖を摂取せずに検査に望みます。悪性の細胞は、良性の細胞の細胞と比べて3倍から8倍ブドウ糖を吸収し、急激に大きくなるらしい。
そこを利用して、「擬似えさ」を作る。。これが、凄いですね。
限りなく、ブドウ糖なのですが、構造の一部に放射性物質を組み込む。
18F-FDG
グルコース(ブドウ糖)に目印となる「ポジトロン核種(=陽電子放出核種)」を合成した薬剤です。
正式名称はフルオロデオキシグルコースといい、性質はブドウ糖とほぼ同じです。
この擬似えさを、注射で体内へ投入すると、すべての細胞がこの餌を取り込もうとする。悪性のがん細胞は、大食いなのでたくさん食べるという仕組み。
だけど、ブドウ糖だと思って取り込んではみたものの、やっぱり偽者なので吸収できない。
結局は、尿となって流れでしまう。。ということらしい。
この、細胞が取り込んでいる隙に、撮影すると、おおく取り込んでいる部分が赤く光る!この検査は、がん細胞が、自分から光ってくれる。。
ただし、尿となって流れ出すので、肝臓、腎臓、そして終着点の膀胱は真っ赤に光る。
口周りや、脳も活発に活動しているので、多く取り込み光る。
真っ黒な肺の下に、薄く光っているでっかいものが、肝臓、大きいものですね。。その下に二つある光っているのが、腎臓、股間で光っているのは、膀胱ですね。。その下が光っているのは?なぜなんだろう?(笑)
ということで、まったく問題ございませんでした。
「何も無いものは、何も無いとしか言いようがない!」と先生に言っていただけました。
が、急性腹痛による、腸閉塞については、、、原因不明のまま、、、ストレスなどによる一次的な痙攣。。。
大丈夫! って思い込むことが大切ですね。
|
11.17.10:07 脳ドック その2 |
ちょっと、気持ち悪い写真もあるので、嫌な方は見ないでください。。見えちゃってるかな?(笑)
どれだけの撮影をすると3次元的に表すことができるのか?はさっぱり分からないが、何十枚という写真を見せていただきながら、説明を受けた。
血管だけの映像が、立体的に映し出される。。。時々TVで見るやつだ。。。
動脈瘤などの、数ミリの瘤や、細く詰まっている箇所なども分かるのらしい。
大きな問題は無いとのことで、、ちょっと安心。
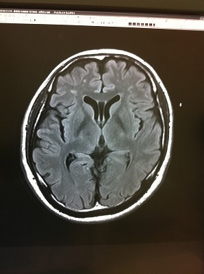
頭のてっぺんから、喉元辺りまで撮影したということで何枚か写真を見た中で、もっともグロテスク?面白い写真がこれですね。
ちょっと、気持ち悪いので、注意してください
ちょうど、目の高さを輪切りにしたものですから、、上に、目、鼻、、左右の空洞が耳、、その他はなんでしょうね?
凄いです。。自分であっても、グロイ。。。
脳が詰まっている部分、、、。考え方が歪んでいると形も歪になるのか??
そんな事は無いですよね。。
で、先生が、この写真を見ながら、、
「ちょっと気になる点があるんですよね。。。。」
「やっぱり、、、なにもないはずがない。。。」
「写真で言う所の、左上に、白い島のようなものが見えますよね。。。」
確かに、、ありますね。。。
「その部分は、脳が死んでいる所です」 「小梗塞、もしくはラクナ梗塞といいます」
※ラクナ梗塞(小梗塞)
脳の細い血管が詰まって起こる脳梗塞
脳に入った太い血管は、次第に細い血管へと枝分かれしていきます。ラクナ梗塞はこの細かい血管が高血圧による血管変性や動脈硬化が原因で狭くなり、詰まることによって起きます。脳の血管の閉塞により、脳の組織の一部が死んで脱落し空洞を残すためにラクナ(小さなくぼみ)梗塞と呼ばれています。日本人に最も多いタイプの脳梗塞です。
※症状
小さな脳梗塞ですが運動障害や感覚障害、言語障害を起こすことがあります。こうした場合は通常の脳梗塞と同じような治療が必要になります。
また症状がはっきりしない場合は無症候性と言いますが、再発により神経症状が出現する率が高くなってしまうのと、再発を繰り返すことで認知症の原因になってしまうのでラクナ梗塞の再発を予防(高血圧、糖尿病、高脂血症といった動脈硬化の危険因子の改善)していくことが、治療の方法となります。
ん。。。。。「今すぐ治療の必要はないですが、煙草や食生活には充分注意してください。」 はい。。
「食生活で、改善できるのですか?」
「死んでいますから、改善はしません。進行を止める。遅らせる事は出来ます」
「60歳を過ぎると、この程度は普通です。ちょっと早いね。」
「脳年齢、60歳代、、、ってことか、、、」
「どうりで、、、、、、、」
血液検査で大きな問題がなかったが、高血圧だけは引っかかった。。。
父譲りの高血圧。。塩分かな。。。大好きだもんな~トホホ
|
11.15.18:39 脳ドック その1 |
昨年の今頃、生まれて初めて救急車の担架で運ばれた。。。
それから半年、つつじマラソンの日にも同じような状態になった。。。
最近、本当に覚えが悪くなった。特に人の名前が覚えられなくなってきた。
そして、50歳という節目の年に、腫瘍ドックと脳ドックを受けることにした。
会社で行く程度の健康検査しかした事がなかったので、ドックと言われるものは初めて。
福井大学病院。。不気味な天気が雰囲気作ってくれます。(笑)
大学病院は初めて。
案内書に書いてあった通り、専用ドック検診室に向かう。
担当の職員さんが出てきて、「かもんさんですね?」あ、、、はい。「今日はお一人ですから、ゆったり出来ます。でも、本日工事をしていてお部屋が狭くて申し訳ございません。。。」
ん~、、広い部屋を知らないから、この待機室で充分だ。。たしかにロッカーが3つあるので、ここで3人居たら嫌だな。。
この部屋にはテレビや雑誌もあるが、脳ドックの服はいつもの健康診断の服と違って、上下スエットだ。。なぜか、アシックス。まず、いろんな説明を受けるが、、、とっても気になった点があった。ここでは、患者さんとは呼ばない。お客様と呼ぶ。。ものすごい違和感があったが、たしかに、健康上の問題があってきているわけではないので、患者?ではないのかもしれないが、、お客様?か、、確かに職員さんも、ホテルの従業員のようで気持ちが悪い。若いときに、秋吉で社長と呼ばれているときの、気持ち悪さだ。
と思ったの最初だけ、親切な事は嬉しいものだ。
この、脳ドックは保険適用外ということで、32000円もかかってしまう。それでも、妻が言うには、「どの程度やられているか、確認しとかな節制せんのやで、ちゃんと見てもらわなあかんのやって!」ということらしい。
ちなみに、妻はこんなに訛ってませんけど。。。(笑)
じゃーん。
各種基本検査が終わり、いよいよ 3T-MR検査。
30分トンネルの中でじっとしているわけだ。。
始まった。工事現場のようだ。。
「ジー、カチカチ、ドコドコ、ギュワーン、、、」なんやねん。。これは。。としばらくすると、、熟睡してしまった。。
気がつくと、、、「終わりましたよ」 え~もう30分もたったのか。。。
病院食ではなく、病院のレストランのお食事ですが、健康に配慮している献立らしい。
それでも、550キロカロリーもあるのか。。
おかずは美味しいが、ご飯がちょっとね。
ドトールコーヒーさんが、併設していたのでコーヒーを飲んで、審査結果を待つ。。
驚愕の事実は、明日のブログで、、、、キャー~
